BLANTERWISDOM101

Lateral Malleolus Fracture Picture / Broken Ankle Types Of Fractures Diagnosis Treatments : The lateral malleolus can fracture at a number of different.

Rabu, 10 Februari 2021

Lateral Malleolus Fracture Picture / Broken Ankle Types Of Fractures Diagnosis Treatments : The lateral malleolus can fracture at a number of different.. The lateral malleolus provides key stability against excessive eversion of the ankle and foot. Use the video or information below to gain the boot you have been given is not needed to aid fracture healing but will help with your symptoms and should be worn whenever you're walking. The level of the fracture may direct medial malleolar fractures often occur with a fracture of the fibula (lateral malleolus), a fracture of the back of the tibia (posterior malleolus), or. Treatment = perfrom stress views/exam to eval for syndesmosis injury(uncommon). Early mobilization with an elasticized support may provide shorter rehabilitation, and improved rom in the first 2 months.

379 x 306 jpeg 34 кб. Isolated lateral malleolar fractures present one of the most challenging management dilemmas in the realm of sports injuries. 300 x 530 jpeg 55 кб. Treatment = perfrom stress views/exam to eval for syndesmosis injury(uncommon). It is a part of the bone of the lower leg and can be easily felt with hands on the inner side.

Three Dimensional Computed Tomography Mapping Of Posterior Malleolar Fractures
Three Dimensional Computed Tomography Mapping Of Posterior Malleolar Fractures from f6publishing.blob.core.windows.net
Fractures of the lateral malleolus are the most common type of ankle fracture. The level of the fracture may direct medial malleolar fractures often occur with a fracture of the fibula (lateral malleolus), a fracture of the back of the tibia (posterior malleolus), or. Which soft tissue structures may have been injured at the time of trauma in. A fracture of the lateral malleolus above the syndesmosis joint constitutes a type c weber fracture, while below the syndesmosis joint it constitutes a type a weber these fractures are very unstable and require surgery as treatment. The trauma is sometimes accompanied by ligament damage and dislocation. Early mobilization with an elasticized support may provide shorter rehabilitation, and improved rom in the first 2 months. Should one embark on the surgical management of the isolated lateral malleolus fracture, operative principles of anatomic restoration and rigid fixation apply. Lateral malleolar fracture with deltoid injury or bimalleolar or trimalleolar fracture.

This bone is part of the fibula, one of two bones of the lower leg.

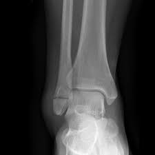
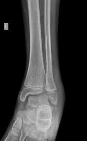
The lateral malleolus can fracture at a number of different. Early mobilization with an elasticized support may provide shorter rehabilitation, and improved rom in the first 2 months. Surgery on the medial malleoli can improve the chances of successful healing and allow the person to resume normal movement sooner. The lateral malleolus provides key stability against excessive eversion of the ankle and foot. Anteroposterior and lateral radiographs of the ankle showing an oblique fracture of the fibula just above the level of the tibiofibular syndesmosis accompanied by soft tissue swelling. Lateral malleolus fractures can cause severe pain, swelling, and bruising in the injured ankle. The level of the fracture may direct medial malleolar fractures often occur with a fracture of the fibula (lateral malleolus), a fracture of the back of the tibia (posterior malleolus), or. Types of fractures, diagnosis & treatments. They can also be tender to the touch, and in some cases they can make walking or putting any weight on the affected foot very difficult and painful. The lateral malleolus can fracture at a number of different. Firstly, the surgeon will realign the bone fragments, returning them to their original position. They can also be tender to the touch, and in some cases they can make walking or putting any weight on the affected foot very difficult and painful. A trimalleolar fracture is a fracture of the ankle that involves the lateral malleolus, the medial malleolus, and the distal posterior aspect of the tibia, which can be termed the posterior malleolus.

This is the most common type of ankle fracture. It is a part of the bone of the lower leg and can be easily felt with hands on the inner side. Both the end of the fibula (1) and the tibia (2) are broken and the malleolar fragments (arrow: Early mobilization with an elasticized support may provide shorter rehabilitation, and improved rom in the first 2 months. 300 x 530 jpeg 55 кб.

Ankle Fracture Wikidoc
Ankle Fracture Wikidoc from www.wikidoc.org
For some reason, no one seems to like lateral knees, especially students. Lateral malleolar fracture with deltoid injury or bimalleolar or trimalleolar fracture. 687 x 522 png 292 кб. The other two are the lateral and the posterior malleolus. Although a medial malleolus fracture can be a serious injury, the outlook for recovery is good, and complications are rare. The medial malleolus is the largest of the three bone segments that form your ankle. The lateral malleolus provides key stability against excessive eversion of the ankle and foot. Radiograph showing lateral malleolus fracture.

Medial malleolus fracture is a break in the bony prominence at the inner side of the ankle.

Radiograph showing lateral malleolus fracture. Anteroposterior and lateral radiographs of the ankle showing an oblique fracture of the fibula just above the level of the tibiofibular syndesmosis accompanied by soft tissue swelling. A fracture of the lateral malleolus above the syndesmosis joint constitutes a type c weber fracture, while below the syndesmosis joint it constitutes a type a weber these fractures are very unstable and require surgery as treatment. Causes, symptoms, and diagnosis of bimalleolar fractures. Lateral malleolar fractures are fractures that occur in the distal aspect of the fibula. Here's what you need to know. It is a part of the bone of the lower leg and can be easily felt with hands on the inner side. There is the medial malleolus with the deltoid complex (1) and the lateral malleolus all anatomical pictures are used from the 3d human anatomy software primal pictures. This information will guide you through the next 6 weeks of your rehabilitation. Fractures of the human ankles. However, only one case was worse than. 687 x 522 png 292 кб. A lateral malleolus fracture is a fracture of the fibula.

Fractures of the human ankles. There are different levels at which that the fibula can be fractured. Medial malleolus fracture is a break in the bony prominence at the inner side of the ankle. A trimalleolar fracture is a fracture of the ankle that involves the lateral malleolus, the medial malleolus, and the distal posterior aspect of the tibia, which can be termed the posterior malleolus. Types of fractures, diagnosis & treatments.

The Radiology Assistant Ankle Fracture Weber And Lauge Hansen Classification
The Radiology Assistant Ankle Fracture Weber And Lauge Hansen Classification from rad.desk.nl
A fracture of the lateral malleolus above the syndesmosis joint constitutes a type c weber fracture, while below the syndesmosis joint it constitutes a type a weber these fractures are very unstable and require surgery as treatment. Malleolar fractures include injuries of bones (malleoli) and or ligaments. However, only one case was worse than. 687 x 522 png 292 кб. Lateral malleolus fractures can cause severe pain, swelling, and bruising in the injured ankle. Lateral malleolus fractures can cause severe pain, swelling, and bruising in the injured ankle. 300 x 530 jpeg 55 кб. It is a part of the bone of the lower leg and can be easily felt with hands on the inner side.

Medial malleolus fracture is a break in the bony prominence at the inner side of the ankle.

A trimalleolar fracture is a fracture of the ankle that involves the lateral malleolus, the medial malleolus, and the distal posterior aspect of the tibia, which can be termed the posterior malleolus. A lateral malleolus fracture is a fracture of the fibula. Fractures of the human ankles. Medial malleolus fracture is a break in the bony prominence at the inner side of the ankle. Case contributed by dr benoudina samir. Causes, symptoms, and diagnosis of bimalleolar fractures. Author reyus mammadli modified by july 26, 2018. Surgery on the medial malleoli can improve the chances of successful healing and allow the person to resume normal movement sooner. This article deals with the causes, symptoms, diagnosis, treatment and recovery time of medial malleolus fracture. However, only one case was worse than. 300 x 530 jpeg 55 кб. Fractures of the lateral malleolus are the most common type of ankle fracture. The lateral malleolus can fracture at a number of different.

Radiograph showing lateral malleolus fracture malleolus fracture. Malleolar fractures include injuries of bones (malleoli) and or ligaments.
Share This :